
因老公喜歡大長腿!31歲德模豪花百萬做增高手術 7年後超後悔!籲不要被愛情沖昏頭腦
不少女生被愛情沖昏頭腦,甚至為了取悅另一半而失去自我、變成對方喜歡的樣子。德國一名女模Theresia fischer為了取悅另一半而不惜豪花過百萬做增高手術,成功從167CM變為181CM,不過換來的卻是難以承受的痛苦!
Photo from ig@theresiafischer
現年31歲的德國模特兒Theresia Fischer樣子甜美、身材姣好,在事業上發展順利,身兼藝人、主持和模特兒三職的她在TikTok上收穫200萬粉絲、IG上亦有超過14萬粉絲。她本來對自己的樣貌與身高都相當有自信,但卻為了心愛的男人而做了增高手術。
Photo from ig@theresiafischer
被催眠不能沒有對方
Theresia Fischer表示,於7年前、當時正值24歲的時候,她遇上了身為電影攝影師的Thomas Behrend,哪怕雙方年齡相差30歲,但仍無阻二人的戀情,他們更在2019年宣布結婚。由於其丈夫喜歡長腿女生,在不斷被要求下,她接受了承受身體痛苦的增高手術:「當你一直聽到:『沒有我的話,你什麼都做不了,你需要我』,當這種說話聽了20次、30次、60次、70次時,真的會被說服,我相信自己好像真的不能沒有他。」
Photo from ig@theresiafischer
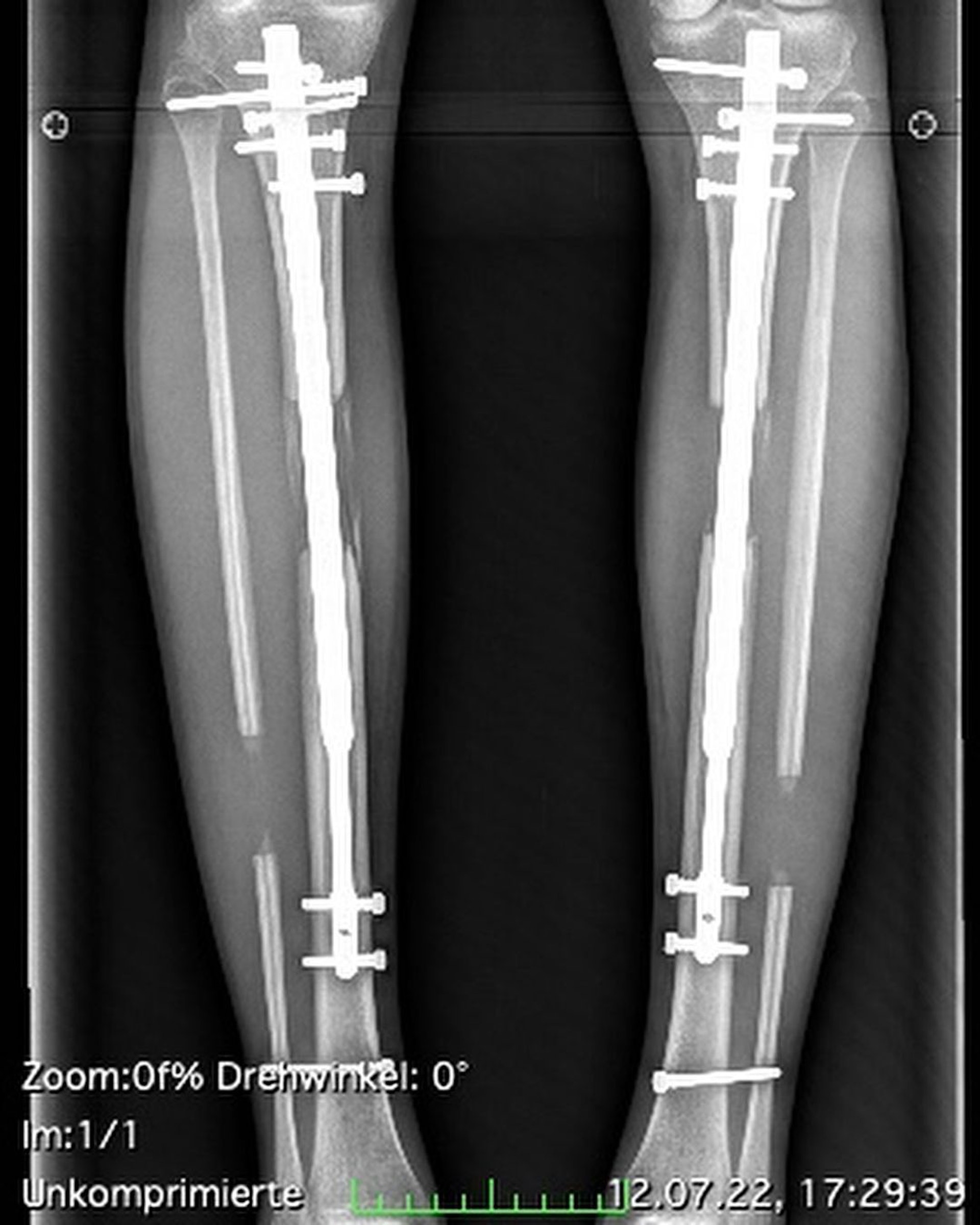
於是,Theresia Fischer豪花過百萬(13萬英鎊)兩度進行增高手術。2016年,第一次接受增高手術,以伸縮桿加長大腿8.5cm;2022年,因雙腳僵硬,只好硬著頭皮進行第二次小腿伸展,再加長了5.5cm。最終從167cm變成身高181的逆天超長腿。
Photo from ig@theresiafischer
Photo from ig@theresiafischer
直言增高過程是「惡夢般痛苦」
Theresia Fischer事後回想起這段增高過程直言是「惡夢般痛苦」,她指手術令她忍受了許多不必要痛苦:「我的脛骨被打斷,小腿肌肉被撕裂,在裡面還安裝一個可伸縮的裝置,每次行走都會增高裝置所發出的『咔噠咔噠』的聲音。」她更指出,手術後還需要承受即使吃止痛藥都不能忍受的劇痛。這些都是戀愛衝昏頭腦下的決定,令她深感後悔。
Photo from ig@theresiafischer
Photo from ig@theresiafischer
幸好,Theresia Fischer後來與老公離婚,並認識到現任男友。她希望藉由自己的經歷,呼籲女生們不要輕易嘗試增高手術,與一般的手術不同,不但要花錢捱痛,手術後還要承受極大的身體痛楚!
Photo from ig@theresiafischer
Text:TopBeauty Editorial
相關文章:
更多相關文章
日本最強軟飯男13年被7女友包養!親授7招留住女人心秘訣:靠實力取勝
20 Aug 2023
Photo from YouTube截圖
一、留住女人的胃
Fumi君指「職業軟飯王」最重要的要識得「煮飯」,他會負責預備女友的一日三餐,在每天早上7點準時起床,為女友準備早餐,又會負責叫醒女友起床。Fumi君表示女友早上起床要玩手機,還要化妝,時間很緊張,所以他會在女友化好妝前,在餐桌上放好他準備好的早餐,讓女友在化好妝後可以第一時間享用到早餐。他又提到會在廚藝上精益求精,如精心研究怎樣用味噌煮青花魚,成功吸引不愛吃魚的女友吃得津津有味。
Photo from YouTube截圖
Photo from YouTube截圖
二、接送女友上下班
Fumi君風雨不改的到地鐵站迎接送女友上、下班,途中又會幫對方拿手袋。接女友回家後,又會親自幫對方洗澡及按摩。
Photo from YouTube截圖
三、負責所有家務
作為「女主外、男主內」,Fumi君會負責家中的所有家務,例如洗衫、洗碗、洗廁所,連地板縫隙也會用棉籤清潔。他表示自己平日會仔細觀察女友的生活習慣,在執屋時依據女友的喜好清理房間,完成一天家務後便是Fumi君的休息時間,而遊戲機、電視機等物品都是女朋友送給他的。
Photo from YouTube截圖
Photo from YouTube截圖
Photo from YouTube截圖
四、不讓女友花錢
雖然Fumi君身上的衣物、遊戲機、電視機等電子產品都是女友出錢買的,但他表示自己不想女友亂花錢,因此從不主動要求女友送禮物,例如他的Switch遊戲機,他拒絕了女友20次才收下。
Photo from YouTube截圖
五、為女友花小錢製造驚喜
女生都喜歡驚喜,Fumi君當然也深明這個道理。雖然他沒有工作收入,但他會利用寫小說或打機賺到的錢買名牌雪糕杯送給女友,物輕情意重,對方已經感到非常滿足。
Photo from YouTube截圖
六、管理身材
每天下午時分,Fumi君都會到海邊跑步或做其他運動,他提到,作為一個專業的「軟飯王」,管理自己的身形是相當基本的事。
Photo from YouTube截圖
七、為女友的身心健康著想
接了女友放工回家後,Fumi君又開始忙碌的晚上。他會親自幫女友洗澡,再預備晚餐;又會成為女友的專屬「樹洞」,紓解女友在日常工作遇到的壓力,又會在女友入睡前為她全身按摩,再將她一擁入懷哄她睡覺,完成「職業軟飯王」一天的工作。
Photo from YouTube截圖
雖然Fumi君畢業13年來未返過工,全靠歷任女友在他身上花了超過1500萬日圓(約$834,630港幣)的生活費,但他目標清晰,知道自己不適合工作:「我是個男人,但我並不傲慢。我不認為不出去賺錢,為伴侶做家務或者其他的事情是有損尊嚴的。」他甚至把軟飯心得出書,自在地活出軟飯王的角色。不少網民在看到他的經歷後不但沒有取笑他,反而認為他一日24小時包辦照顧女友,同時兼任管家、按摩師、心理醫生等等的角色,1年也才115萬日圓(約港幣$61,206)其實非常划算:「找保姆都不止這個價」、「這個軟飯他吃得起」。
Text:TopBeauty Editorial


